Asymmetry: referential versus bipolar montage
Oct 14, 2025A previous post refers.
Asymmetries may be missed by looking at common average montages
This is a more striking example:
The above page, represented on bipolar montage:
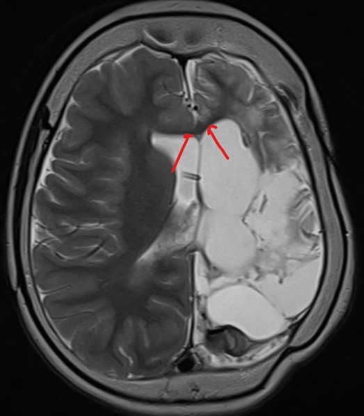
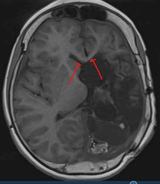
While there is an asymmetry of beta frequencies on the common average montage, especially over the central-parietal regions, the asymmetry is easily missed. The bipolar montage demonstrates suppression of normal rhythms over the left hemisphere; the suppression over the left hemisphere cannot be appreciated on the referential montage. The EEG has been performed on a patient who has previously had a left hemispherectomy.
Here is another example:
The following images accompany comments at the foot of this post.





